Facetas Dentárias

LR Implantes

Referência em Facetas, Implantes, Ortodontia e Próteses!

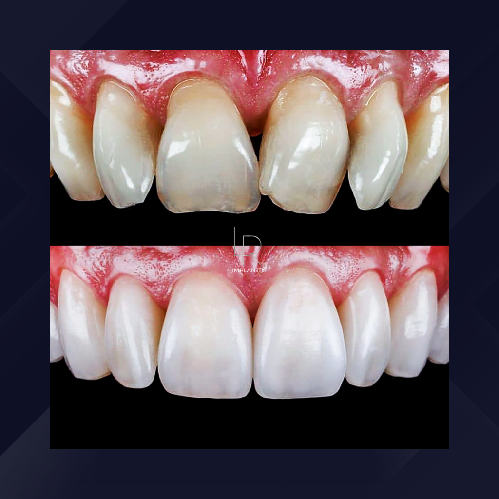
Facetas Dentárias

As Facetas Dentárias são laminados ultrafinos aplicados sobre a superfície dos dentes para corrigir imperfeições de cor, formato ou alinhamento. O tratamento proporciona um sorriso mais branco, harmônico e esteticamente agradável, com aparência totalmente natural.

Feitas sob medida em porcelana ou resina, as facetas garantem resistência e durabilidade, transformando o sorriso de forma rápida e segura. É a escolha ideal para quem busca um resultado sofisticado e personalizado.

Sobre o Dr. Luan Machado Rosseto (CRO-SP: 114.333)

Como Funciona o Nosso Atendimento?

Consulta Personalizada

Para te ouvir com atenção, entender suas necessidades e preocupações, e oferecer um tratamento individualizado.

Retorno em Até 30 Dias

Tenha a garantia de retorno em até 30 dias para acompanhamento do seu procedimento e/ou tratamento e ajustes quando necessário.

Acompanhamento

Para um diagnóstico preciso e acompanhamento da evolução do seu procedimento e/ou tratamento.

Agendamento On-line

Agende sua consulta online no conforto da sua casa, 7 dias por semana, com apenas alguns cliques.

Feedbacks

Fiz minhas facetas e o resultado ficou perfeito! Atendimento impecável e alto nível técnico.”

Mariana Lopes

Tratamento ortodôntico completo, bem planejado e com acompanhamento excelente do início ao fim.”

Fernanda Costa

Implante e prótese feitos com muita segurança e precisão. Clínica realmente referência no que faz.”

Ricardo Almeida

Endereço

LR Implantes

Referência em Facetas, Implantes, Ortodontia e Próteses!

WhatsApp Para Agendamentos

Redes Sociais

Endereço

Estr. do Campo Limpo, 2.745 - Vila Prel, São Paulo - SP, 05.777-001

© LR Implantes. 2025-2026.